Colección SGV de Dibujos Urológicos > Patología urogenital > Próstata > Cáncer de próstata

  • 15 de 19

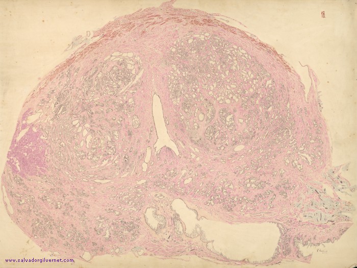
Cáncer de próstata T3
Hiperplasia benigna de próstata

  • Serie H4  Nº 18
  • Foco de adenocarcinoma de próstata en el lóbulo izquierdo. HBP.
  • Corte histotopográfico transversal a nivel supramontanal
    Tinción HE
  • F. Ruano.  1944
  • Tinta china sobre papel.  72 x 96 cm.