Cortes histotopográficos > Quistes próstaticos

  • 1 de 4
img
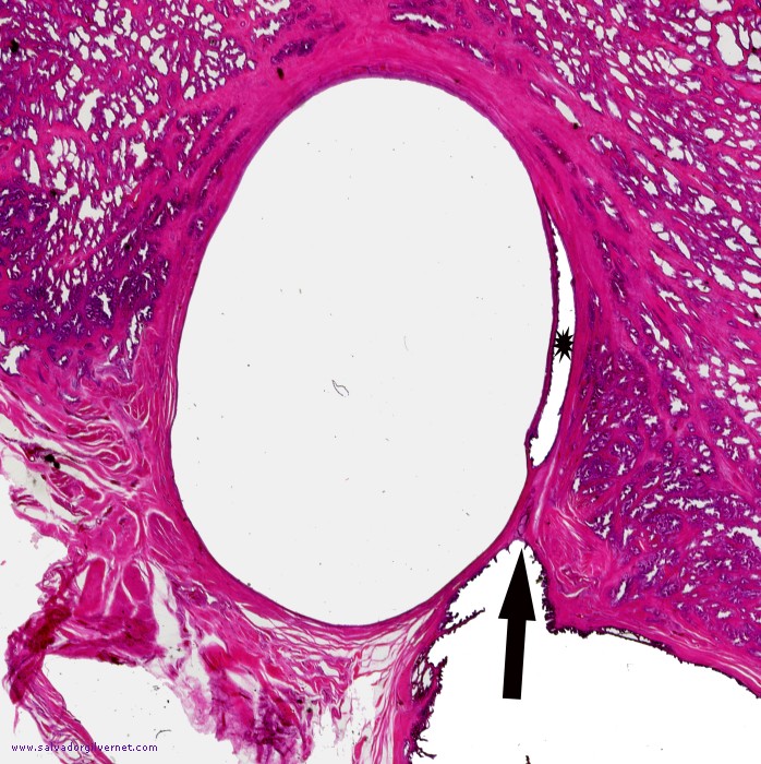
Detalle 1: Porción proximal del conducto eyaculador derecho dilatada (flecha) y porción intraprostática del conducto eyaculador (asterisco) comprimida por el quiste utricular

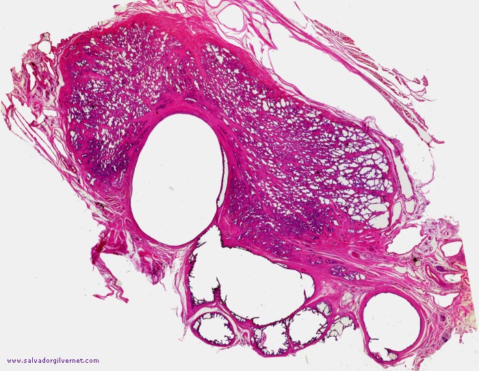
Quiste utricular

  • Serie R-1  
  • Pieza de necropsia
  • Sección frontal oblicua que interesa la porción proximal del conducto eyaculador derecho, ampolla deferencial y vesícula seminal derecha. Quiste de utrículo y porción proximal del conducto eyaculador, ampolla deferencial y vesícula seminal muy dilatados (Detalle 1)
    Tinción HE
  • ca. 1945