Cortes histotopográficos > Cáncer de próstata

  • 5 de 16
img
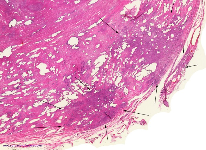
Detalle 1: Cambios de HBP y adenocarcinoma en el lóbulo derecho con afectación extraprostática e invasión del pedículo neurovascular derecho

Carcinoma de próstata T3 e hiperplasia benigna de próstata

  • Serie H-5  
  • Sección transversal a nivel del orificio uretrovesical
    Tinción HE
  • ca. 1943

Adenocarcinoma de próstata T3 y HBP