Cortes histotopográficos > Cáncer de próstata

  • 6 de 16
img
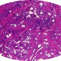
Detalle 1: Afectación extraprostática con invasión de las fibras longitudinales anteriores del detrusor y de las fibras más craneales del esfínter uretral externo en el lado izquierdo
img
Detalle 2: Invasión del lóbulo adenomatoso apical izquierdo (2)

Carcinoma de próstata T3

  • Serie H-636  
  • Sección transversal a nivel del veru montanum
    Tinción HE
  • Ca. 1943

Adenocarcinoma de próstata T3