Cortes histotopográficos > Cáncer de próstata

  • 15 de 16
img
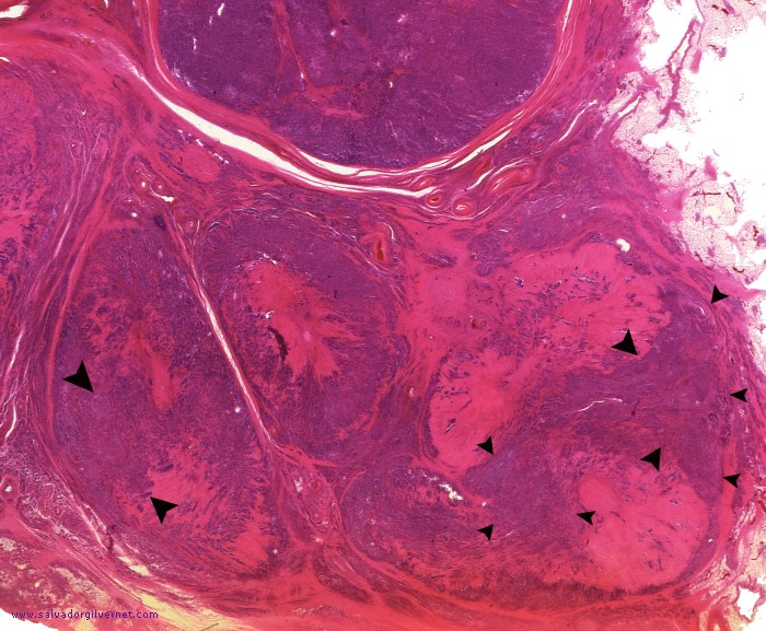
Detalle 1: Nidos tumorales (cabezas de flecha) invadiendo la vesícula seminal derecha y la celda seminal
img
Detalle 2: Invasión tumoral (cabezas de flecha) de la vesícula seminal izquierda (SV) y de la celda seminal

Carcinoma de próstata T3 e hiperplasia benigna de próstata

  • Serie Y-1  Corte 46
  • Pieza de necropsia.
  • Sección transversal a nivel del cuello vesical. Cambios de HBP y adenocarcinoma con invasión de los nódulos de HBP, sobre todo el periuretral derecho. Invasión capsular con afectación de la celda seminal y de ambas vesículas seminales
    Tinción HE
  • ca. 1942

Adenocarcinoma de próstata T3 y HBP