Cortes histotopográficos > Tuberculosis

  • 12 de 18
img
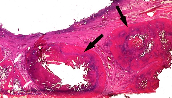
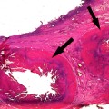
Detalle 1: Ampolla deferencial izquierda (flechas blancas) y ampolla y vesícula seminal derecha con cambios de fibroesclerosis tuberculosa (flechas negras)

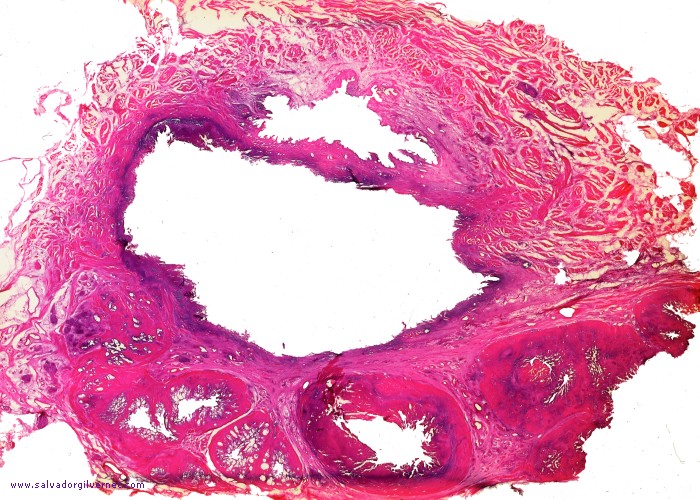
Tuberculosis prostática

  • Serie C-6  Corte 30
  • Pieza de necropsia
  • Sección transversal a nivel del cuello vesical. Caverna tuberculosa en el espacio intervesicogenital con la mucosa trigonal separando la caverna del cuello vesical. Ampolla y vesículas seminales derechas tuberculizadas (Detalle 1), siendo normales las contralaterales
    Paciente de 43 años
    Tinción HE
  • ca. 1950
  • Nota: Corresponde a la microfotografía de la figura 792 en la página 1373 de Enfermedades de la Próstata. Ed. Paz-Montalvo. Madrid, 1955.