Cortes histotopográficos > Anatomía urogenital

  • 5 de 17
img
Detalle 1: Ligamento de Henle (HL). Plexo de Santorini (SVP). Hoja visceral de la fascia endopélvica (EF). Esfínter uretral externo (asteriscos). Uretra prostática inframontanal (U).
img
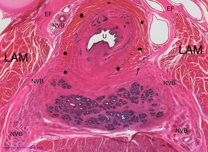
Detalle 2: Hoja visceral de la fascia endopélvica (EF). Haces neurovasculares (NVB). Esfínter uretral externo (asteriscos). Uretra prostática inframontanal (U). Músculo elevador del ano (LAM). Fibras nerviosas del haz neurovascular derecho dando ramas que penetran en el esfínter uretral externo (flechas).

Pelvis fetal varón (8 meses)

  • Serie H-3  Nº 35
  • Sección transversal oblícua a nivel de la uretra prostática inframontanal
    Tinción HE
  • ca. 1950

Ramas isquiopubianas. Ligamento de Henle. Plexo venoso de Santorini. Fascia endopélvica (1). Uretra prostática inframontanal rodeada por las fibras del esfínter uretral externo. Próstata. Haces neurovasculares. Recto. Músculo elevador del ano (2).