Cortes histotopográficos > Anatomía urogenital

  • 14 de 17
img
Detalle 1: Uretra prostatomembranosa con la cresta uretral (cabezas de flecha) por debajo de la que transcurre el haz muscular prostatouretral posterior (estrellas) hasta agotarse entre las fibras lisas del esfínter uretral externo (puntos negros). Las fibras estriadas (asteriscos) abrazan a la uretra y se extienden lateralmente en su porción más caudal.
img
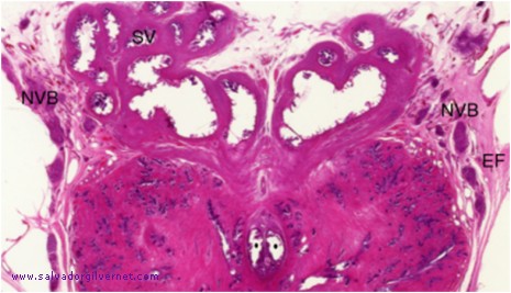
Detalle 2: Vesículas seminales (SV) y ampollas deferenciales. Conductos eyaculadores (puntos negros). Haces neurovasculares (NVB) con ganglios del plexo pelviano, perivesiculares y prostáticos. Hoja visceral de la fascia endopélvica (EF) atravesada por ganglios y nervios de los haces neurovasculares.

Pelvis fetal varón (8 meses)

  • Serie H-4  Corte 50
  • Sección frontal oblicua en un eje de inclinación dorso-ventral
    Tinción HE
  • ca. 1950

Celda seminal con vesículas seminales y ampollas deferenciales Pedículos neurovasculares vasoseminales y prostáticos. Próstata, uretra prostática con el relieve de la cresta uretral integrada por el haz muscular prostatouretral posterior (1). Fascia endopélvica (hoja visceral). Haces prostáticos neurovasculares. Músculos elevadores del ano. Esfínter uretral externo con sus componentes liso y estriado que abrazan a la uretra prostatomembranosa (2). Cuerpo esponjoso del bulbo uretral y músculo bulbocavernoso.